Premature bearingfailures in wind gearboxes and white etching cracks (WEC)
Wind turbine gearboxes are subjected toa wide variety of operating conditions, some of which may push the bearingsbeyond their limits. Damage may be done to the bearings, resulting in aspecific premature failure mode known as white etching cracks (WEC), sometimescalled brittle, short-life, early, abnormal or white structured flaking (WSF).Measures to make the bearings more robust in these operating conditions arediscussed in this article.
Ambitious worldwide renewableenergy targets are pushing wind energy to become a mainstream power source. Forexample, the Global Wind Energy Council, GWEC1, expects that thecurrently installed wind energy capacity of 200 GW will double within three tofour years, keeping open the aspirational goal of 1,000 GW of installedcapacity by 2020.
Despite high wind turbine availability(> 96 %, depending on turbine), and a relatively low failure rate ofmechanical components compared with electrical components, failures onmechanical drive trains still create high repair costs and revenue loss due tolong downtimes2.
In most wind turbine concepts, a gearboxis commonly used to step up the rotor speed to the generator speed. Today, theactual service life of wind turbine gearboxes is often less than the designed20 years. Failures can be found at several bearing locations, namely the planetbearings, intermediate shaft and high-speed shaft bearings (fig. 1).
Much premature wind gearbox bearingdamage results in a failure mode that is not caused by the classic rollingcontact fatigue (RCF) mechanisms (fig. 2). While these classic mechanisms aresub-surface initiated fatigue as well as surface initiated fatigue and can bepredicted by standard bearing-life calculation methods (refer to ISO 281 andISO/TR 1281-2), premature crack failures are not covered by these methods.However, attempts to calculate bearing life have been made when detailedinformation of the case is available (e.g., local effect of hoop stresses)37.
ISO 15243 describes the visualappearance of the classic rolling contact fatigue mechanisms.
White etching refers to the appearanceof the altered steel microstructure when polishing and etching a microsection.The affected areas, consisting of ultra fine nano-recrystallized carbide-freeferrite, appear white in a light optical micrograph due to the low etchingresponse of the material.
Known to occur only occasionally in someindustrial applications such as paper mills, continuous variable drives, marinepropulsion systems, crusher mill gearboxes or lifting gear drives, in windapplications the frequency of premature failures seems to be higher (but mightbe also related to a larger population of installed machines). Commonly, earlycracks have occurred within the first one to three years of operational timeor at 5 to 10 % of the calculated rating life (fig. 3).
Mostly occurring on the inner ring, asshown in fig. 4, the visual appearance of early cracks varies from straightcracks (“axial cracks”) to cracks in combination with small spalls andlarge/heavy spalling. Based on SKF’s knowledge from increased field experience,it is concluded that early failures by cracks are neither linked to aparticular type of bearing (fig. 5) nor to a particular standard heat treatment(fig. 6) 6, 7, 8, 9, 10.


The failure appearance, however, isassociated with the heat treatment (e.g., residual stress field), the stage offailure progress and very likely also to the operating conditions or bearingposition (e.g., stress field from loading). As can be seen in fig. 6, for earlycracking in this specific application, cracks in martensite rings tend to growstraight into the material (suggesting the straight “axial” crack appearance,e.g., fig. 6a), whereas in bainitic (fig. 6b) as well as in carburized casehardened rings, the cracks tend to grow circumferentially below the raceway(explaining the spalling/flaking type of appearance, e.g., fig. 6c).Nevertheless, in a very advanced failure stage, the inner ring raceways areoften heavily spalled, independent of the heat treatment.

Challenges due to operating conditionsin wind turbine gearboxes
Wind turbine gearboxes are subjected to a wide variety of operating conditionsthat may push the bearings beyond their limits (e.g., with respect to load,speed, lubrication and combinations of these). The wind energy segment facessome of the toughest challenges for extending bearing life and reducing theoccurrence of premature failures while at the same time reducing the overallcost of energy.
There are many opinions in the publicdomain summarizing common indications of severe operating conditions in conjunctionwith premature failures in wind turbine applications. These include:
· periods of heavy and dynamic loads/torques – leading tovibrations and rapid load changes (e.g., transient raceway stress exceeding 3.1GPa, heavy loads of 15,000 per year, impact loads)6, 7, 11, 12, 13, 14,15, 17, 18
· depending on turbine type, additional radial and axialforces by the rotor, axial motion of the main shaft – leading to dynamicalloading, higher stresses of gearbox components especially at the first stage19,20
· occasional connecting and disconnecting of the generatorfrom the power grid – leading to torque reversals and bouncing effects (e.g.,can lead up to 2.5 – 4 times higher nominal torque, impact loads)12, 15,21
· rapid accelerations/decelerations and motions of thegearbox shafts13, 15
· misalignment, structural deformations (nacelle hub,housings)11
· lubricant compromise between needs of gears and bearingsas well as between low- and high-speed stages, insufficient oil drains andrefill intervals22
· harsh environmental conditions – eventual largetemperature changes and consequently larger temperature differences between thebearing inner ring and housing than expected when starting up, dust, coldclimate, offshore, moisture23
· idling conditions – leading to low load conditions andrisk of skidding damage (adhesive wear)23
· some design requirements can be conflicting, e.g.,increasing rolling element size will increase the load carrying capacity butsimultaneously increase the risk of cage and roller slip and sliding damage6,7, 17, 23.
As stated, bearings may fail for otherreasons not attributed to falling below best practice standards24, 25and from other industrial experiences. Statistical evaluations of a limitednumber of offshore wind turbines2 indicate clearly a correlationbetween failure rate, wind speed and heavy and fluctuating loads. The trendtowards larger turbine sizes with higher power-to-weight ratios will invariablylead to more flexible supporting structures11 that, in turn, will influencethe load sharing and load distribution within the rolling bearings as well ason other drive components. According to reference 26, in “young”, heavilyloaded applications having a highly innovative product design life cycle,sufficient experiences are often lacking with respect to the machine’sendurance. Independent of wind turbine and gearbox manufacturers, the presenceof cracks on bearings is sometimes interpreted as indicative of uncontrolledkinematic behaviour19, 27.
Possible “rolling surface crack” driversand review of hypotheses
The occurrence of premature failures is heavily discussed within the windindustry and independently investigated by wind turbine manufacturers, gearboxmanufacturers and bearing suppliers as well as universities and independentinstitutions. Unfortunately, a consistent theory does not exist today. To listand explain all WEC failure root cause hypotheses would go beyond the scope ofthis paper.
Nevertheless, many of the existingtheories from literature can be briefly summarized as shown in fig. 7. Manypapers (for example, reference 10) discuss a local change in the bearingmaterial microstructure into WEC by certain influencing factors.
As influence factors, the followingdrivers are often mentioned:
· material
microstructure, heat treatment, natural hydrogen content, cleanliness(different type of inclusions), residual stresses, etc.
· loading
overloads, peak loads, impact loads, torque reversals, vibration, slip,structural stresses, electric currents, etc.
· environment
lubricant, additives, corrosion, tribochemical effects, hydrogen generation,temperature gradients, contamination (e.g., water), etc.
· others
mounting (e.g., scratches), transport, quality aspects, etc.
To increase the complexity, mostinfluencing factors are also correlated.
Thus, driven by a single factor or by acombination of several factors, WEAs develop locally in the bearing steelmatrix. The WEAs will then be the nucleation sites of cracks that finallypropagate to the bearing raceway. As a consequence, the bearing will fail byspalling or so-called WSF.
Most common hypotheses can be furtherdivided into hydrogen enhanced WEC developments28, 29, 30, purely load/stressrelated WEC developments preferable at inclusions31, 32 or somecombination of reasons33.
Some of the above damage mechanisms seemto influence, for example, applications such as
· paper mills (e.g., water in oil – corrective action basedon condition of lubrication)34
· marine propulsion systems (e.g., exceeding stresses –corrective action based on special through-hardened clean steel and stressreduction)32, 34
· alternator and generator bearings (e.g., damaging current– corrective action by use of special greases and/or hybrid bearings, specialsteels)6, 35, 36.
Nevertheless, in general, the relevanceof the common WEC hypotheses to premature wind gearbox failures is not sufficientlyclear yet.
Potential root cause of WEC in windgearboxes according to SKF experience
According to SKF experience, most early bearing failures are related tolubrication or other surface-related issues and can partly be estimated by theSKF advanced bearing-life model. SKF internal investigations have revealed thatmany cracking failure modes in wind gearbox bearing positions most likely havetheir origin at or near the surface (0–150 µm) and propagate into the materialunder the influence of a corrosion fatigue process6, 7, 16.
There are several indicators that cansupport this hypothesis:
Wind gearbox bearings are relatively large, and for larger bearings the crackinitiation and propagation mechanism can differ compared to small bearings6,16. For instance, a deeper radial cracking is reported in larger bearingsat moderate loads due to the residual stresses and higher hoop stress37.
In case of premature wind gearboxbearing failures, the failure occurrence suggests fast crack propagation. Thefast branching and spreading crack propagation can be explained by the presenceof chemical influencing factors such as oxygen and ageing products of thelubricant at the crack faces/tips6, 16, 38. In a completelysub-surface crack system, we have vacuum conditions and consequentlysignificantly slower crack growth from pure mechanical fatigue38. Inother words, already at an early stage, the cracks or crack systems must beconnected to the surface to allow the entrance of oxygen and lubricant.

Hydrogen-assisted fatigue can lead tosimilar effects28, 33, or to accelerated classic rolling contactfatigue6, 35, 36; however, this would require, for example,aggressive corrosive environment or continuous high-frequency electric currentpassage. The presence of free water leads, likewise, to a highly corrosiveenvironment34, but elevated water contents in the lubricants areclaimed to be under control by the turbine manufacturers. Moisture corrosionin wind gearboxes is usually not seen during SKF investigations. If that can beexcluded, then regenerative passivating tribolayers usually provide a barrierto corrosion and hydrogen absorption into the steel, if continuous and intact.All told, if hydrogen absorption occurs in the steel, it is detrimental;however, the available evidence of this failure mechanism in wind gearboxes isrelatively weak.
Nevertheless, SKF tribochemistry studiesconfirm the local generation of hydrogen in severe mixed friction contacts. Tocontinuously generate hydrogen, fresh, interacting metallic surfaces areneeded. This could lead to a local weakening effect on the surface,facilitating a surface crack generation. However, in wind gearboxes, severewear is hardly seen on the failed bearing raceways, which would allow hydrogenpermeation. Thus, hydrogen permeation through the bearing raceway (without anyadditional factor) seems not to be likely. A potential additional factor couldbe the relative aggressive wind oils, eventually in combination withcontaminants39, 40, 41. In SKF’s experience, the performance of windgearbox oils can be distinguished from surface initiated failure mechanisms39(e.g., surface distress). To quantify the relevance, further investigations areneeded. At the moment, the role of hydrogen generation is seen as a localeffect generated in the crack systems due to lubricant entry leading to themecanism of corrosion fatigue cracking (CFC)6, 16.
The normally moderate bearing loadconditions in wind gearboxes, the absence of compressive residual stressbuild-ups (in the area of the maximum von Mises equivalent stress) as well asthe decrease in the X-ray diffraction line broadening close to the raceways infailed bearings (e.g., due to mixed friction – shear stresses and vibrations)shown by material response analyses further support a surface or near-surfacefailure initiation6, 7, 16. Lately, it is known that not onlyinadequate lubrication conditions, but also certain vibration effects at higherfrequencies, are able to reduce the film thickness and consequently increasethe risk for conditions of local mixed friction42, 43.

According to reference 44, thegeneration of WEC networks is less influenced by Hertzian pressures, and mostinfluencing factors are surface based. The often-disputed role of butterflycrack generation at inclusions, which show a similar altered microstructure asseen in WEC, is considered as part of the classic fatigue mechanism that iswell covered in the bearing-life model7, 44, 45. Little experimentalevidence is reported that supports butterfly cracks propagating into WECnetworks10.
A high butterfly density is a sign ofoverstress or very heavy loading (> 3 GPa), but excessive loads are claimednot to exist by the turbine manufacturers. This seems to be supported bystandard gearbox HALT tests. A highly accelerated life test (HALT) is a stresstesting methodology for accelerating product reliability during the engineeringdevelopment process. There, the metallurgical investigations often show anelevated number of butterfly formations in the bearings due to heavy-load testconditions, but failed bearings from the field often do not show a significantincrease in butterfly formations6, 7. Especially at the high-speedstages, the loads are usually moderate, but bearings can still fail by cracks /WEC without showing a significant population or even individual exemplars ofbutterflies6, 7. It seems that standard gearbox HALT tests do needfurther adaptations to reflect the early failure mechanisms as seen in thefield.
Nevertheless, the occurrence ofunexpected high sub-surface stress-induced bearing damage32 also byinclusions cannot be fully excluded as long as the exact contribution oftransient running conditions is not fully understood. The exact loading of windgearbox bearings in the field is very much based on wind field simulations,later on further reduced to quasi-static load assumptions; and moderate bearingloads are assumed at nominal conditions. Non-steady-state conditions should bekept in mind and are increasingly taken into account by the wind industry.
Potential mechanism for damagepropagation:
There is a general agreement that it is not nominal wind gearbox operatingconditions but rather transient, partly unknown, conditions that lead occasionallyto disturbed bearing kinematics, loading and lubrication. Basically, it isassumed that high surface stress concentrations can be reached, e.g., byvibration-induced local mixed friction6, 16, 47, misalignment orother events as already mentioned. At boundary lubricated patches at asperitylevel, the stress concentration of the tensile stresses can increase and open acrack under repeated cycles (areas of high stresses just below the roughness)48,49.
As schematically shown in fig. 8,transient conditions can trigger surface cracks, possibly accelerated bytribochemical effects6, 16, 39, 40, 41, or sub-surface cracks thatreach the raceway when starting at weak points such as inclusions close to thesurface (< 150 µm)6.
The inclusions can be soft MnS or hardoxides that naturally exist in any bearing steel. In addition, small MnS linesat the raceway can sometimes be dissolved by the lubricant and act also aspotential surface cracks6, 16 and/or environmental corrosive cracks.Examples of a shallow surface crack are shown in figs. 9 and 10, and often itrequires significant effort and experience to find them at an early stage6,7, 16.
The cracks shown in figs. 10 and 11 aregenerated in an automotive rolling-sliding contact at high traction and contactpressures, similar to potential wind load situations of around 3 GPa18.
Once the bearing raceway is locallydamaged, the highly EP doped lubricant will penetrate into the crack. Dependingon the crack orientation, hydraulic effects will additionally push the crackpropagation46. As indicated in fig. 12, the lubricant (often agedand/or contaminated with water) will react inside the material at the freshmetallic crack flanks. In other words, a corrosion fatigue crack propagationprocess, CFC, is triggered.
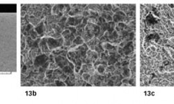
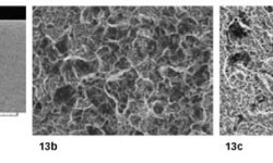
This leads to a hydrogen inducedmicrostructure transformation by means of hydrogen release from decompositionproducts of the penetrating oil (additives, contaminants) on the rubbing blankmetal crack faces that in turn further accelerate the crack propagation6,7, 16. This conclusion is also supported by spatially resolved determinationsof the hydrogen content in damaged bearing rings, which confirm that hydrogenabsorption occurs late in the damage process7, 16. As shown in fig.13, a fractographic investigation in the preparative opened forced fractureface close to the inner ring crack reveals an intercrystalline microstructurethat indicates material embrittlement by hydrogen, released from the ageinglubricant products6, 7, 16, 41, whereas distant from the CFC crack,a normal largely transcrystalline fracture face is seen. Further indication ofsuch a CFC mechanism is found by EDX analysis of lubricant and additiveresiduals within the opened crack system6, 7, 16.
Inside the crack system, the mechanismof CFC will then transform the microstructure locally into white etching areasand lead to the typical appearance of an irregular WEC network (e.g., figs. 2,6, 14). Thus, WEC are considered as secondary; a by-product of the CFCmechanism, as the hydrogen released and energy dissipated at the crack flanksresult in a local change of the microstructure then appearing as a whiteetching crack decoration.
The distribution and intensity of theWEC decoration effect is relatively complex. It depends very much on thedistribution of lubricant residuals inside the crack network, the local rubbingeffect in the crack faces and the local equivalent stress fields.
Finally, fast three-dimensional crackpropagation/branching in combination with crack returns will lead to a fastfailure of the concerned rolling bearing surfaces.
Conclusion and SKF prevention strategy
The fast growth of the wind industry as well as the trend to increasing turbinesizes erected at locations with turbulent wind conditions puts significantchallenges on the rolling bearings in the drive train. One consequence of thisevolution of a relatively young industry has been premature gearbox bearingfailures. Over the years, the discussion in the industry was mainly focused onthe influence of bearing material and heat treatments. Recently, there is ageneral agreement that specific wind conditions can lead to disturbed bearingkinematics, loading and lubrication. In other words, the root cause failurewill not be found inside the bearing only. The complete application interfacesbetween the bearing and the gearbox / turbine need to be considered.
The phenomenon of wind gearbox bearingfailures by cracks / WEC has been described. A failure hypothesis has beenintroduced. SKF investigations reveal that cracking failure modes in criticalwind gearbox bearing positions most likely have their origin at the surface ornear surface and propagate further into the material under the influence of acorrosion fatigue process.
Due to the high complexity of a windturbine as well as the very different bearing locations that can be affected,it is very unlikely that there is only one application condition root cause.However, it can be stated that any condition that leads to disturbed bearingkinematics, such as high vibration levels and high sliding friction, should beavoided in order to reduce micro-wear and high tensile stresses.
To effectively support the windindustry, SKF as a bearing manufacturer is focusing on bearing modificationsthat aim to reduce the risk of premature bearing failures and increase bearingrobustness under the specific conditions of wind gearbox applications. Thesolution strategy takes into account mainly the hypothesis introduced, but alsoaddresses the common theories on WEC.
Most failure prevention strategies havebeen positively confirmed by internal investigations and SKF field experience.Today’s state-of-the-art failure prevention measures are:
· SKF special passivation
· to stabilize the near surface microstructure
· to make the bearing more resistant to chemical attack andhydrogen
· to reduce micro friction under peak loading
· to improve running-in
· SKF special clean steel for the most stressed component
· to reduce further the amount of inclusions that can actas stress raisers in the material or on the surface
<span style="font-family:symbol;color:#1B1B1B;font-siz



技术支持